0
Inquiry Basket
Quote

Native Diphtheria CRM197, Mutant [Glu52]

Cat# : THP-3000

Product Datasheets COA :
Cat#:  THP-3000
Product Name:  Native Diphtheria CRM197, Mutant [Glu52]
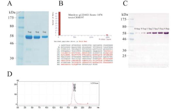
Description:  The Glu52 diptheria toxin, also known as CRM197 (Cross-reactive materials 197), is a nontoxic mutant of diphtheria toxin, has a mutation in fragment A (a glycine to glutamic acid substitution at position 52)
Species:  C. diphtheriae
Molecular Weight:  ~58 kDa
Source:  C. diphtheriae
Purity:  > 90% by SDS-PAGE and HPLC
Formula:  Liquid
Endotoxin:  <10 EU/μg of protein by LAL method.
Storage:  Ship with ice packs. Store at -20 centigrade.
Concentration:  12.099 mg/mL (aq) by BCA
Not For Human Consumption!

Online Inquiry

  • Size: 100ug 500ug 1mg 5mg 10mg 100mg 500mg 1g
  • Conjugation: None R-PE APC Biotin FITC Alexa Flour Others
CONTACT US

For more information on how our products could help advance your project, please contact us.

Contact Us

ENTER YOUR EMAIL HERE TO SUBSCRIBE.

Copyright © 2026 Creative BioMart. All Rights Reserved.